Wisdom Tooth Pain Management and Extraction: Comprehensive Care in Alwoodley, Leeds
Expert Wisdom Tooth Care in a Relaxed Setting
Are you experiencing wisdom tooth pain? Our specialist team provides professional wisdom tooth removal services in Leeds, ensuring a comfortable and safe experience for all patients. Learn everything you need to know about wisdom tooth extraction, from initial consultation to recovery.
Understanding Impacted Wisdom Teeth and When Removal is Necessary
Wisdom teeth, also known as third molars, typically emerge in your late teens or early twenties. While some people experience no issues, some people require them to be removed. The commonest reason for this is because the wisdom teeth are impacted, i.e. there is not enough space for them to erupt fully into the mouth. This can cause:
- Persistent pain and discomfort
- Risk of infection and gum disease
- Potential damage to neighbouring teeth
- Some people suggest that impacted wisdom teeth can contribute to insufficient jaw space, leading to dental crowding (i.e. crooked teeth)
Signs You May Need Wisdom Tooth Removal
If you’re experiencing any of these symptoms, you might need professional wisdom tooth removal:
- Persistent jaw pain and tenderness
- Swollen, red, or bleeding gums around wisdom teeth
- Difficulty opening your mouth
- Chronic bad breath or unpleasant taste
- Visible infection/pus around the tooth

The Process of Professional Wisdom Tooth removal
Initial Consultation and Assessment
Before any wisdom tooth removal procedure, we conduct:
– Comprehensive oral examination
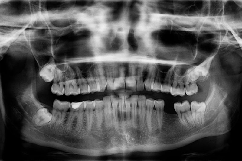
– Digital X-rays to assess tooth position
– Detailed treatment planning
– Discussion of anaesthetic options
Anaesthesia Options
Wisdom teeth removal can be performed using different types of anaaesthesia:
– Local Anesthesia: Most extractions are done under local anaesthesia, numbing the area while allowing you to stay awake. This is a quick and easy option, and reduces the aftercare required
– Sedation: Sedation can be combined with local aneasthesia to help you relax during the procedure.
– General Anaesthesia: For more complex cases, general anaesthesia may be used, where you are asleep during the extraction.
Types of Wisdom Teeth Removal Procedures
We offer various approaches to wisdom tooth removal, depending on your specific case:
– Simple Extraction For fully emerged wisdom teeth with straightforward access. This is when the teeth are not impacted, and we can get to them relatively easily in the mouth
– Surgical Extraction for impacted wisdom teeth
– Complex cases including coronectomy to reduce the risk of nerve damage. Often, these cases are best referred to an Oral Surgeon. In Leeds, this can sometimes be done through the NHS
Recovery After Wisdom Tooth Removal
Our post-operative care includes:
Immediate Aftercare
– Professional pain management guidance
– Cold compress application for swelling
– Detailed recovery instructions
Recovery Timeline
– First 24 hours: Rest, soft diet and minimal mouth movement
– Days 2-3: Gradual return to normal activities, continue with anti-inflammatories as needed
– Day 7: Begin to gently clean the area with a soft brush (this is variable, and your dentist will give you personalised advice on this issue)
– Day 14: Return to regular routine (again, your dentist will give you personalised advice on this)
Common Side Effects And Complications Of Wisdom Teeth Removal
While most people recover without issues, there are potential side effects and complications to wisdom teeth removal:
Common Side Effects
– Pain and Swelling: These are normal and usually peak in the first few days, although our expert dentists always look to remove wisdom teeth as efficiently as possible, which makes recovery a lot more comfortable
– Stiffness: You may experience difficulty opening your mouth fully while you are healing.
– Bad Breath: This can occur for a short period as the extraction site heals.
Potential Complications
– Dry Socket: A condition where the blood clot dislodges, exposing the bone and causing severe pain. Symptoms typically appear two to three days post-extraction. We recommend not using a straw to drink for a few weeks after a wisdom tooth is removed. In addition, although there are a lot of great pubs in Leeds, it is best to avoid alcohol for 48 hours after having a tooth removed
– Infection: Signs of infection include increased swelling, redness, and fever.
As you can tell, it is best to seek expert care if you are having issues with your wisdom teeth. That’s where we come in! Our experienced dentists will assess your individual case and arrange top quality treatment appropriate to your personal needs
Frequently Asked Questions About Wisdom Teeth Removal
How long is the recovery period?
Most people recover within a week, although some discomfort and swelling may last a few days longer.
Can I go back to work after the procedure?
Recovery time varies. If you have a desk job, you may return within a day or two, while physically demanding jobs may require more time off.
Is wisdom teeth removal safe during pregnancy?
Yes, but it’s best to postpone the procedure until after childbirth unless it’s an emergency. Consult your dentist for personalised advice.
What can I do to prevent dry socket?
Avoid smoking, using straws, and spitting forcefully. Rinsing gently with salt water can also help maintain oral hygiene.